|
Figure 1. |
An 11-year-old, spayed female, Dachshund with a blue hair coat color presented with widespread, patchy alopecia. The patient began developing partial alopecia ten years prior on the dorsum. Three years later, the alopecia affected the trunk, and the dorsal back was almost bald. There was no pruritus, pustules, or erythema. After an additional three years, the patient developed seborrhea sicca and erythema. Cytopoint therapy was initiated at that time. The alopecia slowly progressed to the entire body. CBC/chemistry were normal. On presentation, there was partial alopecia with mild, flaky skin and hyperpigmentation, especially on the dorsal skin, as well as numerous small (1-2 mm), raised, black comedones.
|
FIGURES
|
Figure 2. |
Figure 3. |
|
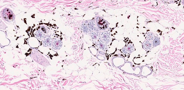
Figure 4. H&E, 2x magnification.
|
|
|
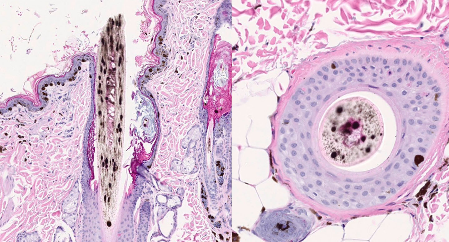
Figure 5. H&E, 10x & 20x magnification
|
|
|
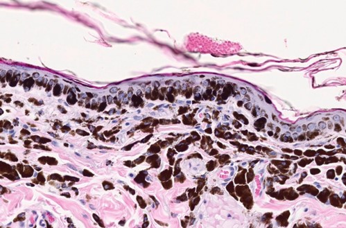
Figure 6. H&E, 10x magnification |
|








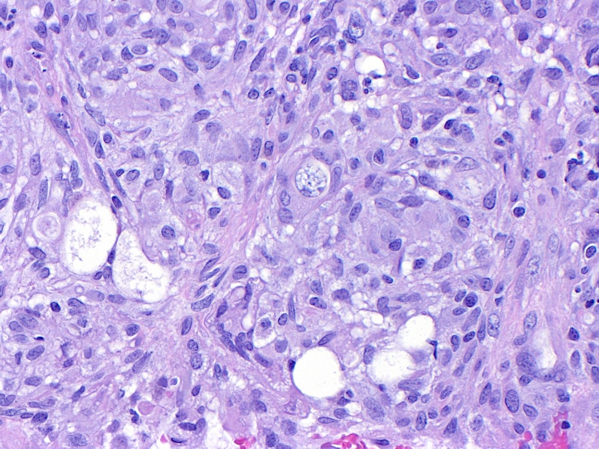
Figure 7. H&E, 20x magnification.